Журнал эволюционной биохимии и физиологии, 2020, T. 56, № 7, стр. 766-766
Pigmentation of the Pineal Gland of Carnivorous Mammals of the Family Canidae: the Influence of Age and Exogenous Melatonin
S. N. Kalinina 1, 2, *, V. A. Ilyukha 3, I. I. Okulova 4
1 Karelian Research Centre of the Russian Academy of Sciences
Novosibirsk, Russia
2 Petrozavodsk State University
Novosibirsk, Russia
3 Institute of Biology of the Karelian Research Centre of the Russian Academy of Sciences
Petrozavodsk, Russia
4 FSBSI prof. B.M. Zhitkov Russian Game Management and Fur Farming Research Institute
Kirov, Russia
* E-mail: cvetnick@yandex.ru
Introduction. Melanin can accumulate in internal organs, including the pineal gland (PG) of many mammals and humans. The etiology of pigment accumulation in the PG and its physiological significance are poorly studied. The aim of the study was to analyze the presence of melanin and assess the influence of age and exogenous melatonin on the frequency of pigmented PG in three Canids – raccoon dog, silver fox and blue fox.
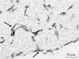
Materials and methods. In the study of age influence, immature (6–8 months) and sexually mature (1.5–3.5 years) female animals of each species were used. In an experiment on the effects of melatonin, sexually mature (1.5–3.5 years) female animals of each species were treated with a melatonin (6 mg per animal). The presence of pineal pigmentation was visually assessed and the ratio of pigmented and non-pigmented glands was calculated (in %). Morphological features of the PG were studied by histological methods, sections were stained with hematoxylin and eosin, as well as by Masson-Fontana.
Results. Along with the usual light-colored glands, pigmented ones were also recorded, whose sections revealed massive clusters of rounded dark-brown melanin granules of different sizes, which enveloped the nucleus and/or filled the cell processes. No influence of age on the frequency of occurrence of pigmented PG in raccoon dogs was found; in silver foxes pigmented glands were found only in adult animals in 21.4% of cases, while in blue foxes, an age-related decrease was observed from 21.4% to 7.1% (ANOVA, χ2: p < 0.05). Under the influence of melatonin, the frequency of pigmented glands increased: from 0 to 15% in raccoon dogs, from 16 to 25% in foxes, and from 7 to 19% in Arctic foxes (ANOVA, χ2: p < 0.05).
Conclusions. A wide variation in the degree of pigmentation of the canine PG was found. The frequency of pigmented glands was influenced by species, age, and exogenous melatonin.
Supported by state order (0218-2019-0073).
Список литературы отсутствует.
Дополнительные материалы отсутствуют.
Инструменты
Журнал эволюционной биохимии и физиологии



