56
Радиохимия, 2019, т. 61, N 1, c. 56-62
Влияние подложек углеродных материалов на эффективность
изотопного обмена между даларгином и тритием
© И. А. Разживина*а, Г. А. Бадун**а, С. Б. Артемкинаб, М. Г. Чернышеваа,
А. Л. Ксенофонтовв, Е. Д. Грайферб, А. В. Гаршева,г,д
а Химический факультет Московского государственного университета им. М. В. Ломоносова,
119991, Москва, Ленинские Горы, д. 1, стр. 3; e-mail: * irina.razjivina@yandex.ru, ** badunga@yandex.ru
б Институт неорганической химии им. А. В. Николаева СО РАН, 630090, Новосибирск, пр. Акад. Лаврентьева, д. 3
в Институт физико-химической биологии им. А. Н. Белозерского Московского государственного университета
им. М. В. Ломоносова, 119234, Москва, Ленинские Горы, д. 1, стр. 40
г Факультет наук о материалах Московского государственного университета им. М. В. Ломоносова,
119234, Москва, Ленинские Горы, д. 1, стр. 73
д Институт металлургии и материаловедения им. А. А. Байкова РАН, 119334, Москва, Ленинский пр., д. 49
Получена 18.12.2017, после доработки 07.02.2018, принята к публикации 08.02.2018
УДК 546.100.02.3:547.15/17
Исследована реакция изотопного обмена между даларгином, нанесенным на различные подложки
[стекло, активированный уголь, малослойный графит (МСГ)], и молекулярным тритием при активации
реакции на вольфрамовой проволоке и катализаторах 5% Pd/С, 10% Pd/С, 5% Pt/МСГ. В зависимости от
условий проведения эксперимента молярная радиоактивность [3Н]даларгина менялась от 0.47 до
31 Ки/ммоль при активации реакции на вольфрамовой проволоке и от 0.63 до 5.5 Ки/ммоль при нагре-
вании системы до 335 К в присутствии катализаторов - благородных металлов. Обнаружено существен-
ное различие в распределении трития по аминокислотным остаткам пептида в зависимости от подлож-
ки и способа активации реакции. Реакции атомов трития, полученных на вольфраме, приводили к вклю-
чению трития преимущественно в алифатические остатки при нанесении пептида на стекло и в арома-
тические остатки при нанесении пептида на активированный уголь. Использование МСГ в качестве
подложки в меньшей степени влияло на перераспределение трития между алифатическими и аромати-
ческими остатками. При активации трития на 5% Pd/С, 10% Pd/С, 5% Pt/МСГ мечеными оказались пре-
жде всего ароматические остатки, что характерно для электрофильных реакций. Проведенное исследо-
вание выявило сильное влияние подложки на механизм изотопного замещения водорода на тритий в
даларгине. Впервые показано, что можно регулировать внутримолекулярное распределение трития при
получении меченых соединений с помощью метода термической активации, выбирая подложку, на ко-
торую наносится вещество.
Ключевые слова: тритий, спилловер водорода, метод термической активации, механизм изотопно-
го обмена, малослойный графит, даларгин.
DOI: 10.1134/S003383111901009X
Изотопный обмен между газообразным тритием
сфере водорода с добавлением дейтерия или трития
и органическими соединениями широко использует-
при давлении 300-400 гПа. Оказалось, что добавле-
ся для получения меченых соединений. Для ини-
ние в состав катализатора (катализатор Линдлара,
циирования реакции чаще всего используют кратко-
5% Pd/C, 5% Pd/BaSO4, 5% PdO/BaSO4) углеродных
временное нагревание вольфрамовой проволоки
нанотрубок и нановолокон, а также наноалмазов
электрическим током (метод термической актива-
повышает выход и удельную радиоактивность мече-
ции) [1-3] или длительное нагревание до умерен-
ных соединений.
ных температур (335-570 К) благородных металлов,
При исследовании реакции изотопного обмена с
нанесенных на различные подложки (в работах [4,
4-фенилбензоатом натрия (ФБNa) обнаружено, что
5] метод назван высокотемпературным твердофаз-
удельная радиоактивность меченого соединения и
ным каталитическим изотопным обменом
-
количество побочных продуктов зависят не только
ВТКИО). Для увеличения выхода и удельной радио-
от способа активации реакции, но и от того, на ка-
активности препаратов разрабатываются модифика-
кую подложку нанесено это вещество [9]. При акти-
ции методов, в том числе с использованием угле-
вации реакции на вольфрамовой проволоке при
родных наноматериалов в качестве подложек, на
1940 К, когда происходит диссоциация молекул
которые наносят органические соединения. Так, в
трития на атомы, в случае нанесения ФБNa на стек-
работах [6-8] проводили реакции дейтерия и трития
лянные стенки реакционного сосуда наблюдалось
с биологически активными соединениями в диапа-
гидрирование в значительной степени, а при актива-
зоне температур 350-430 К при нагревании в атмо-
ции реакции на катализаторе 5% Pd/C при давлении
Влияние подложек углеродных материалов
57
4.2 Па и температуре 335 К получили препарат, не
дике, предложенной в работе [16]. Для этого 40-
содержащий продуктов гидрирования [9, 10]. При
50 мг интеркалированного фторированного графита
обработке ФБNa, нанесенного на активированный
C2F·0.13BrF3 помещали в кварцевую трубку длиной
уголь, атомами трития, полученными на вольфрамо-
300-400 мм и диаметром 30-40 мм, далее трубку
вой проволоке, также не обнаружено продуктов
помещали в печь, предварительно нагретую до
гидрирования, однако удельная радиоактивность
1120 К, примерно на 30 с (разложение интеркалята
[3H]ФБNa снижалась по сравнению с эксперимен-
сопровождалось появлением МСГ - черного очень
том при нанесении на стеклянные стенки. Сделано
объемного рыхлого вещества). В результате термо-
предположение, что в рассматриваемом экспери-
удара образовывался МСГ.
менте происходило изменение механизма взаимо-
Синтез композита МСГ с платиной
5%
действия активированного трития с веществом, свя-
Pt/МСГ. Композит платины и МСГ с массовой до-
занное с изменением электронной структуры сорби-
лей металла 5% синтезировали по методике [13].
руемых на подложке атомов трития.
20 мг МСГ в смеси этиленгликоля и воды (3 : 2) об-
В настоящее время исследуется большое число
рабатывали ультразвуком в течение 2 ч в атмосфере
углеродных наноматериалов, которые находят раз-
азота. Затем добавляли
1.2 мг K2PtCl4 (Sigma-
личное применение благодаря их уникальным физи-
Aldrich, США) в небольшом количестве растворителя
ко-химическим свойствам. Например, графен и его
при перемешивании. Смесь кипятили с обратным
многослойные аналоги (многослойный графен, или
холодильником при 393 К в течение 4 ч при постоян-
малослойный графит, - МСГ) применяются в элек-
ном перемешивании. После реакции смесь центрифу-
тронике и при создании композитных материалов
гировали (использовали центрифугу Eppendorf Centri-
различного назначения. Композиты МСГ с металла-
fuge 5430, Германия) со скоростью 6000 об/мин в те-
ми используют в качестве катализаторов реакций
чение 30 мин, декантировали раствор, далее осадок
кросс-сочетания [11, 12], окисления CO до CO2 [13]
промывали деионизованной водой пять раз и высу-
и других. Наиболее известными методами получе-
шивали при 353 К в течение ночи. Удельная поверх-
ния многослойных аналогов графена являются: га-
ность полученного катализатора составила 99 м2/г.
зофазное осаждение [14, 15], органический синтез
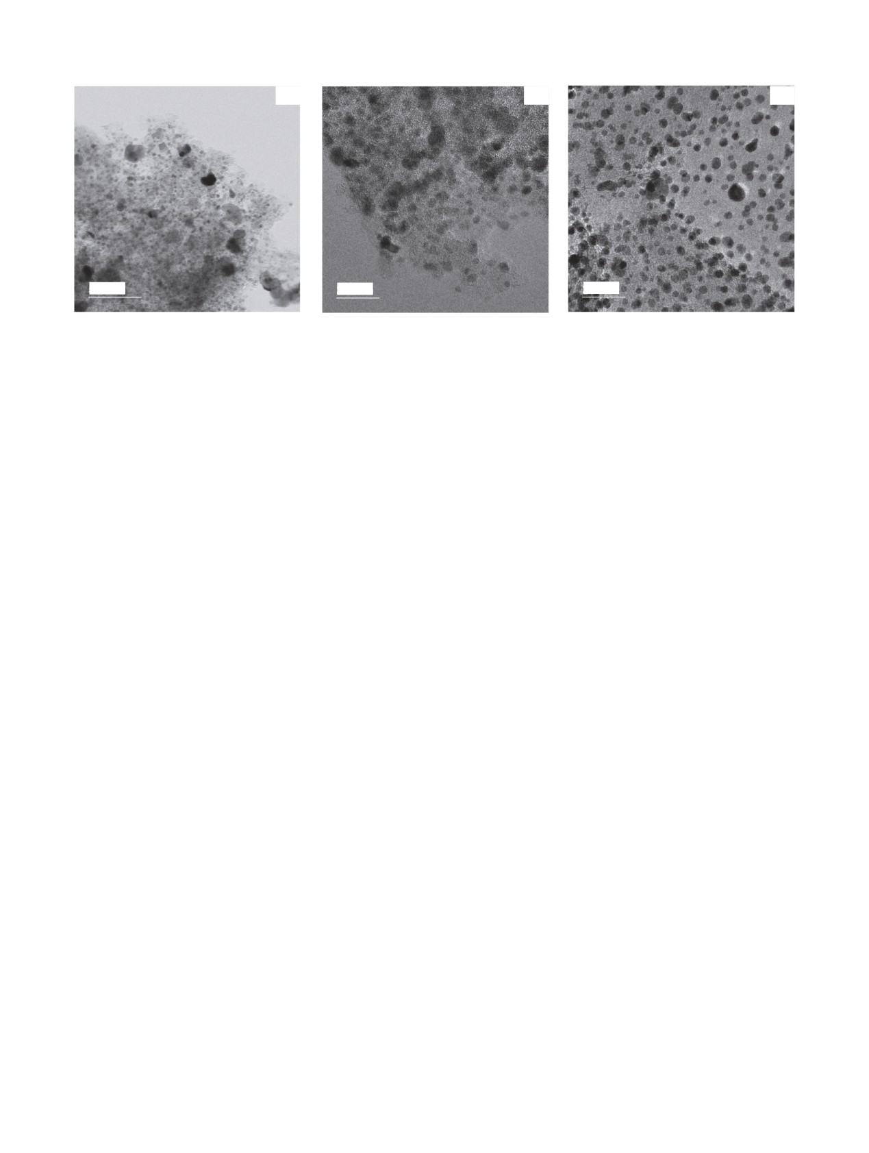
Характеристики катализаторов. Удельные по-
из молекулярных прекурсоров и химическое расще-
верхности катализаторов определяли методом Бру-
пление графита и его модификаций (оксидов, интер-
науэра-Эммета-Теллера (БЭТ) на анализаторе
калятов) [16-18]. Указанные методики синтеза по-
ASAP-2010 (Micromeritics, США), микрофотографии
зволяют получать материалы с малым количеством
(рис. 1) получали с помощью просвечивающей элек-
включенных гетероатомов.
тронной микроскопии (ПЭМ) на микроскопе Zeiss
Для дальнейшего выявления влияния подложки
Libra 200 (Carl Zeiss, Германия). Из изображений
на результат изотопного обмена в данной работе ис-
ПЭМ найдено, что все катализаторы имеют диаметр
следовали реакцию олигопептида Tyr-D-Ala-Gly-
частиц основной фракции от 2 до 3.5 нм, катализато-
Phe-Leu-Arg (даларгин) с газообразным тритием с
ры на угле содержат небольшое количество крупных
активацией реакции на вольфрамовой проволоке
кластеров (до 18 нм), препарат 5% Pt/МСГ практиче-
при температуре около 1800 К и на порошкообраз-
ски монодисперсный.
ных катализаторах при 335 К. В качестве подложек
Реакция даларгина с тритием. Изотопный об-
использовали активированный уголь (С) и МСГ, а
мен даларгина с газообразным тритием инициирова-
также композиты с Pd и Pt на их основе.
ли двумя способами: нагреванием до 1800-1850 К
вольфрамовой проволоки, помещенной в реакторе
Экспериментальная часть
на расстоянии 3 см от вещества, и с помощью ката-
Реактивы. В работе использовали: олигопептид
лизаторов 5% Pd/С, 10% Pd/С и 5% Pt/МСГ при на-
даларгин (ООО «Эллара», Россия); активированный
гревании до 335 К.
около 800 м2/г; палладий, нанесенный на
уголь, Sуд
При использовании вольфрамового атомизатора
активированный уголь, с массовой долей металла 5
для активации трития 0.15 мг даларгина в виде рас-
(Sуд = 768 м2/г, 5% Pd/С, Fluka, США) и 10% (Sуд =
твора в метаноле распределяли на стенках реакцион-
852 м2/г, 10% Pd/С, Sigma-Aldrich, США); газооб-
ного сосуда, затем растворитель удаляли в токе воз-
разный тритий (ПО «Маяк», Россия). Используемый
духа. Для нанесения пептида на активированный
5% Pd/С хранился длительное время, поэтому перед
уголь или МСГ их помещали в раствор даларгина в
введением в реакцию его отжигали в водороде в те-
метаноле в соотношении 0.15 мг пептида на 5 мг
чение 40 мин при температуре 410 ± 10 К и давле-
углеродного материала, выдерживали 1 сут, затем
нии 4 ± 1 кПа; 10% Pd/С использовали без дополни-
суспензию наносили на стенки реакционного сосуда
тельной обработки.
и растворитель испаряли при непрерывном враще-
Синтез МСГ. МСГ синтезировали по мето-
нии. В предварительных экспериментах с меченным
58
И. А. Разживина и др.
а
б
в
50 нм
20 нм
20 нм
Рис. 1. Микрофотографии катализаторов, полученные при помощи просвечивающего электронного микроскопа Zeiss Libra 200
(Carl Zeiss, Германия): а - 5% Pd/C, б - 10% Pd/C, в - 5% Pt/МСГ.
тритием даларгином было показано, что пептид пол-
Waters на обращенно-фазной колонке Waters Nova-
ностью адсорбировался на углеродных материалах
Pak С18, 3.9 × 300 мм, 4 мкм (Waters, США) с детек-
при выдерживании раствора 24 ч.
цией по поглощению при длинах волн 190 и 275 нм.
Температура колонки
298 К, скорость потока
Сосуд с нанесенным на стенки даларгином вакуу-
0.5 мл/мин, А - 0.2%-ный раствор трифторуксусной
мировали, заполняли газообразным тритием и акти-
кислоты (ТФУ) в воде, В - 0.2%-ный раствор ТФУ в
вировали реакцию нагреванием вольфрамовой про-
ацетонитриле, градиент А → B, доля элюента А (%):
волоки до ТW от 1800 до 1850 К в течение tp = 10 с,
0 мин - 100, 5 мин - 100; 10 мин - 60, 30 мин - 35,
затем откачивали газовую смесь и в ряде экспери-
40 мин
-
10. Время удерживания даларгина
ментов повторяли процедуру еще раз. Температуру
18.1 мин.
стенок сосуда с мишенью даларгина поддерживали
равной 296 ± 2 К или охлаждали мишень до 77 К
Растворы и суспензии меченого даларгина под-
жидким азотом. Для обеспечения прямого пролета
вергали кислотному гидролизу по методике [19].
атомов от проволоки до мишени и примерно одина-
После гидролиза даларгина, нанесенного на угле-
ковой скорости атомизации использовали давление
родные подложки, гидролизаты отделяли от осадка
трития р0 = 0.5 Па при Т = 77 К и р0 = 1.2 Па при Т =
центрифугированием и фильтровали через мембран-
296 К.
ные фильтры с размером пор 0.22 мкм. Гидролизаты
многократно высушивали и перерастворяли в воде.
Для обновления поверхности мишени даларгина,
Затем проводили аминокислотный анализ на анали-
нанесенного на стенки сосуда, в одном из экспери-
заторе Amino Acid Analyzer Hitachi L-8800 (Hitachi,
ментов после двух циклов обработки меченое соеди-
Япония) по стандартной методике Спэкмена, Штейна
нение растворяли в 0.6 мл метанола, заново наноси-
ли на стенки сосуда и повторяли процедуру введе-
и Мура [20], адаптированной в работах [19, 21], с
проточным счетом радиоактивности на детекторе Ra-
ния трития. Обновление поверхности повторяли дву-
diomatik 150TR Flow Scintillation Analyzer (Packard In-
кратно, так что общая продолжительность реакции
strument Co, США). Полученные профили по погло-
составила 60 с.
щению и радиоактивности обрабатывали при помощи
Для проведения изотопного обмена с газообраз-
программы МультиХром для Windows (ЗАО «Ам-
ным тритием в присутствии катализаторов 5% Pd/C,
персенд», Россия). Характерные профили оптического
10% Pd/C, 5% Pt/МСГ 0.15 мг даларгина сорбирова-
поглощения и радиоактивности приведены на рис. 2.
ли на 1 мг носителя из раствора в метаноле, который
Из этих данных находили молярные радиоактивно-
затем смешивали с 5 мг катализатора, полученную
сти отдельных аминокислот и меченого пептида.
суспензию наносили на стенки реакционного сосуда
и удаляли растворитель в токе воздуха. После вакуу-
Результаты и обсуждение
мирования напускали тритий до давления
6.1
±
0.1 Па и нагревали до температуры 335 ± 2 К в тече-
Для оптимизации условий введения трития в да-
ние 25 мин.
ларгин использовали разные типы подложек, на
Очистка [3Н]даларгина и анализ продуктов
которые наносили пептид, два способа активации
реакции. Меченые препараты смывали со стенок
изотопного обмена с молекулярным тритием и рас-
реакционного сосуда метанолом и высушивали с
сматривали влияние этих аспектов на удельную
помощью роторного испарителя, удаляя лабильный
радиоактивность пептида и распределение трития
тритий. Проводили ВЭЖХ анализ на хроматографе
по аминокислотным остаткам.
Влияние подложек углеродных материалов
59
Рис. 2. Профили оптического поглощения при 570 и 440 нм продукта реакции аминокислот с нингидрином (а) и по радиоактивно-
сти (б) в аминокислотном анализе гидролизата меченого даларгина, полученного при активации реакции на 5% Pt/МСГ.
Молярная радиоактивность меченного тритием даларгина при различных условиях проведения реакции изотопного обмена
Активатор реакции
Т, К
tр
Даларгин нанесен на:
АМ, Ки/ммоль
W
77
10 с
Стекло
8.4
W
77
20 с
»
16
W
77
60 с
»
17
W
77
20 с
Активированный уголь
0.47
W
77
20 с
МСГ
8.3
W
296
10 с
Стекло
31
5% Pd/C
335
25 мин
5% Pd/C
0.63
10% Pd/С
335
25 мин
10% Pd/C
4.1
5% Pt/МСГ
335
25 мин
5% Pt/МСГ
5.5
При активации реакции нагреванием вольфрамо-
трития 33 кПа в течение 40 мин в [23] позволило
вой проволоки образуются атомы трития, которые в
получить [3Н]даларгин с удельной радиоактивно-
выбранных условиях эксперимента (расстояние до
стью АМ = 51 Ки/ммоль. Таким образом, для дости-
мишени 3 см, давление 0.5 Па при 77 К и 1.2 Па при
жения высокой степени изотопного обмена в далар-
296 К) достигали стенок сосуда без столкновений с
гине необязательно проводить эксперимент с ис-
молекулами в газе, т.е. без потери энергии (прямой
пользованием нагревания всей системы до темпера-
пролет атомов). В экспериментах при температуре
туры 413 К, а достаточно получить интенсивный
стенок сосуда 296 К, на которые наносили даларгин,
поток атомов трития, вступающих в реакцию с пеп-
была получена удельная радиоактивность АМ
=
тидом, находящимся при комнатной температуре. В
31 Ки/ммоль, что соответствует содержанию более
этом случае расходуется существенно меньшее ко-
одного атома трития в молекуле. Учитывая неравно-
личество трития (около 0.1 Ки).
мерность распределения трития среди молекул пеп-
Однако эксперименты при 296 К приводили к
тида в объеме мишени (наиболее высокое включе-
образованию большого количества побочных про-
ние трития происходит в молекулы на поверхности
дуктов, которые обнаруживались при ВЭЖХ анали-
мишени - в данном эксперименте это около 20%
зе. При охлаждении стенок сосуда до 77 К уменьша-
молекул) и по аминокислотным остаткам пептида
лась как удельная радиоактивность пептида, так и
(65% трития содержится в остатке лейцина, рис. 2),
количество побочных продуктов, что может облег-
можно предположить, что в этом случае удельная
чить интерпретацию результатов. Поэтому осталь-
радиоактивность лейцина в составе поверхностных
ные эксперименты с термической активацией прово-
молекул пептида близка к 100 Ки/ммоль, что соот-
ветствует замещению на тритий 3 из 10 атомов водо-
дили при температуре мишени 77 К.
рода в составе этого остатка. Достаточно высокую
В таблице приведены молярные радиоактивности
степень замещения водорода на тритий в поверхно-
[3Н]даларгина, определенные из данных аминокис-
стном слое мишени наблюдали ранее в реакции с
лотного анализа гидролизата пептида. Оказалось,
аденином [22].
что при взаимодействии атомарного трития с далар-
Использование для активации реакции катализа-
гином, нанесенным на стекло, при Т = 77 К увеличе-
тора 5% Rh/Al2O3 при температуре 413 К и давлении
ние длительности реакции от 10 до 20 с приводило
60
И. А. Разживина и др.
практически к двукратному увеличению молярной
радиоактивности [3Н]даларгина. Однако полученная
за 20 с реакции величина является близкой к пре-
дельной в этих условиях, что подтверждено в экспе-
рименте с обновлением поверхности мишени. Из-
вестно, что при воздействии атомов трития, посту-
пающих из газовой фазы, с твердыми мишенями
толщина реакционной зоны составляет около 1 нм
[3, 24, 25]. При плотности вещества 1 г/см3 доступ-
ность всех молекул мишени атомам трития будет
создаваться при удельном покрытии поверхности
сосуда слоем 1 мг/м2. В проведенных экспериментах
использовали сосуды c шероховатыми стенками, и
при массе пептида 0.15 мг толщина покрытия со-
ставляла около 5 мг/м2. Поэтому для увеличения
удельной активности пептида провели эксперимент
с обновлением поверхности мишени: после обработ-
ки атомарным тритием в течение 20 с перерастворя-
ли вещество в метаноле и наносили на стенки зано-
во. Однако двукратное обновление поверхности
(продолжительность реакции 60 с) практически не
изменило удельную радиоактивность [3Н]даларгина,
но увеличило количество побочных продуктов. Ве-
роятно, молекулы пептида не образуют плотный
слой на стекле, а удельная радиоактивность
17 Ки/ммоль является предельно высокой в рассмат-
Рис. 3. Распределение радиоактивности по аминокислотным
риваемых условиях эксперимента из-за высокой ве-
остаткам меченого даларгина, полученного при активации
роятности протекания побочных реакций. Примера-
реакции: а - на вольфрамовой проволоке (Т = 77 К, ТW =
1850 К); б - на катализаторах 5% Pd/C (1), 10% Pd/C (2), 5%
ми таких побочных реакций являются гидрирование
Pt/МСГ (3) (Т = 335 К, tр = 25 мин, p0 = 6.1 ± 0.1 Па). На а да-
бензольных колец в тирозине и фенилаланине, а их
ларгин нанесен на: 1 - стекло (20 с), 2 - стекло (60 с), 3 - уголь
продукты отделяются от даларгина при дальнейшей
(20 с), 4 - МСГ (20 с).
очистке и в аминокислотном анализе.
Для повышения эффективности изотопного обме-
трития (рис. 3, а). Это соответствует представлени-
на при активации реакции нагреванием вольфрамо-
ям о механизме изотопного обмена под действием
вой проволоки использовали подложки из углерод-
атомов трития с первой лимитирующей стадией от-
ных материалов - активированного угля и МСГ, на
рыва атома водорода от исходной молекулы и обра-
которые наносили даларгин. Углеродные подложки
зованием промежуточного радикала. В случае аро-
существенно повлияли на результат: при использо-
матических аминокислот с этой реакцией будет кон-
вании активированного угля произошло снижение
курировать гидрирование бензольного кольца, что
удельной радиоактивности пептида в 30 раз, а в слу-
приводит к образованию побочных продуктов, отде-
чае МСГ - в 2 раза. Следует отметить, что в этих экс-
ляемых при ВЭЖХ и аминокислотном анализе.
периментах тритий эффективно связывался с мате-
При обработке атомами трития пептида, нанесен-
риалом подложки, и давление газа снижалось более
ного на МСГ, доля трития существенно уменьша-
чем в 10 раз. Таким образом, углеродные подложки
лась в лейцине, но возрастала в составе глицина.
нельзя рассматривать как инертные материалы, по-
При нанесении даларгина на активированный уголь
скольку они могут связывать активированный тритий
распределение трития внутри пептида изменялось
и влиять на ход изотопного обмена с пептидом, что
более кардинально: радиоактивность ароматических
отразилось на внутримолекулярном распределении
аминокислот возрастала до 50% и снижалась в лей-
трития.
цине. Включение трития в ароматические фрагмен-
Для препаратов, нанесенных на стекло, распреде-
ты молекул характерно для реакций изотопного об-
ление оказалось практически одинаковым: основная
мена, протекающих в условиях спилловера трития
часть радиоактивности содержалась в лейцине,
по поверхностям в катионной форме [4, 26]. Вероят-
имеющем алифатический радикал с третичным ато-
но, при адсорбции атомов трития на активирован-
мом углерода, а в ароматических аминокислотах
ном угле происходит их поляризация вплоть до об-
фенилаланине и тирозине содержалось от 10 до 20%
разования пары (3H+)(e-)•, переход электрона в ва-
Влияние подложек углеродных материалов
61
лентную зону (как это описано в работе [27] при
но отметить, что этот результат получен при
сорбции на разных материалах) или полная потеря
335 К, тогда как в работе [23] с активацией реакции
электрона с образованием протонов, стабилизиро-
на 5% Rh/Al2O3 при температуре 413 К большей ре-
ванных подложкой, и как следствие взаимодействие
акционной способностью обладали остатки глицина
с пептидом в виде катионов по электрофильному
и аланина, и только повышение температуры до
механизму. Аналогичный эффект изменения меха-
463 К способствовало увеличению количества три-
низма и состава продуктов реакции ранее наблюдали
тия в ароматических фрагментах (остатки фенилала-
в экспериментах с ФБNa [9]. Из-за высокой удель-
нина и тирозина), что подтверждает сильное влия-
ной поверхности угля средняя удельная толщина его
ние материала подложки на эффективность спилло-
покрытия пептидом невысока (около 0.08 мг/м2), что
вера трития и механизм изотопного замещения.
приводит к существенному вкладу электрофильного
Таким образом, нанесение даларгина на МСГ в
механизма в реакцию изотопного обмена. Снижение
методе термической активации трития на вольфра-
радиоактивности даларгина при нанесении на уголь
мовой проволоке не приводило к увеличению мо-
обусловлено тем, что активированный на вольфра-
лярной радиоактивности по сравнению с традицион-
мовой проволоке тритий термализуется в порах и
ным вариантом нанесения вещества на стеклянные
связывается с поверхностью угля, которая покрыта
стенки. При получении плотных или толстых по-
кислородсодержащими группами. Так как у МСГ
крытий подложки веществом, скорее всего, будет
удельная поверхность меньше, пептид способен
сохраняться радикальный механизм изотопного за-
практически полностью покрыть этот материал мо-
мещения. Однако использованный вариант нанесе-
нослоем, что уменьшает вклад реакций с предвари-
ния даларгина на высокоразвитую поверхность ак-
тельной адсорбцией атомов трития на подложке.
тивированного угля приводил к уменьшению удель-
Однако взаимодействие молекул пептида с поверх-
ной радиоактивности за счет термализации трития в
ностью МСГ оказывает небольшое влияние на рас-
порах и связывания его с подложкой и существенно
пределение трития по остаткам. Снижение радиоак-
изменял внутримолекулярное распределение трития.
тивности лейцина происходит, скорее всего, по этой
Участие подложки как среды, меняющей химиче-
причине.
ские свойства активированного трития, открывает
Для выявления влияния МСГ на реакцию изотоп-
перспективы исследования других микропористых
ного обмена, активированного наноразмерными ка-
материалов с целью поиска новых вариантов метода
тализаторами, нанесенными на подложки, провели
термической активации, позволяющих целенаправ-
эксперименты с даларгином в присутствии 5% Pd/C,
ленно менять внутримолекулярное распределение
10% Pd/C и 5% Pt/МСГ. Условия активации трития
трития.
соответствовали использованным в экспериментах с
Исследование выполнено при финансовой под-
ФБNa [9]. Для катализатора 5% Pd/C, использован-
держке РФФИ в рамках научного проекта 16-33-
ного в работе [9], в настоящем исследовании получе-
00589 и с использованием оборудования, приобре-
на наименьшая удельная радиоактивность даларгина
тенного за счет средств Программы развития Мос-
(0.63 Ки/ммоль). Это, скорее всего, обусловлено свя-
ковского университета.
зыванием трития на носителе, содержащем кислород-
содержащие группы, которые не удалялись при отжи-
Список литературы
ге. Более высокие радиоактивности получены на 10%
[1] Badun G. A., Chernysheva M. G., Ksenofontov A. L. // Radio-
Pd/C (4.1 Ки/ммоль) и 5% Pt/МСГ (5.5 Ки/ммоль), что
chim. Acta. 2012. Vol. 100. P. 401-408.
более чем в 10 раз превышает результат, полученный
[2] Badun G. A., Chernysheva M. G., Tyasto Z. A. et al. // Radio-
при обработке атомами трития нанесенного на уголь
chim. Acta. 2010. Vol. 98. P. 161-166.
даларгина и сопоставимо с экспериментами при на-
[3] Тясто З. А., Михалина Е. В., Чернышева М. Г., Ба-
дун Г. А. // Радиохимия. 2007. Т. 49, N 2. С. 163-165.
несении даларгина на стекло.
[4] Zolotarev Y. A., Dadayan A. K., Bocharov E. V. et al. //
Результаты аминокислотного анализа показали,
Amino Acids. 2003. Vol. 24. P. 325-333.
что в ароматические остатки включается до 80%
[5] Шевченко В. П., Нагаев И. Ю., Мясоедов Н. Ф. // Успехи
химии. 2003. Т. 72, N 5. С. 471-497.
трития, причем распределение по аминокислотам
[6] Шевченко В. П., Нагаев И. Ю., Шевченко К. В. и др. //
оказалось одинаковым для всех катализаторов
Радиохимия. 2011. Т. 53, N 3. С. 285-288.
(рис. 3, б). Поэтому в качестве основного механизма
[7] Шевченко В. П., Бадун Г. А., Нагаев И. Ю. и др. // Вестн.
протекания реакции можно рассматривать спилло-
Моск. ун-та. Сер. 2: Химия. 2010. Т. 51, N 2. С. 128-131.
вер активированного трития от катализатора к моле-
[8] Шевченко В. П., Нагаев И. Ю., Бадун Г. А. и др. // Докл.
АН. 2012. Т. 442, N 5. С. 636-641.
кулам пептида по поверхности углеродного материа-
[9] Шевченко В. П., Разживина И. А., Чернышева М. Г. и
ла, когда тритий приобретает катионные свойства,
др. // Радиохимия. 2015. Т. 57, N 3. С. 264-271.
поэтому изотопный обмен протекает преимущест-
[10] Razzhivina I. A., Badun G. A., Chernysheva M. G. et al. //
венно по реакции электрофильного замещения. Важ-
Mendeleev Commun. 2016. Vol. 26. P. 59-60.
62
И. А. Разживина и др.
[11] Machado B. F., Serp P. // Catal. Sci. Technol. 2012. Vol. 2.
[20] Spackman D. H., Stein W. H., Moore S. // Anal. Chem. 1958.
P. 54-75.
Vol. 30. P. 1185-1190.
[12] Huang C., Li C., Shi G. // Energy Environ. Sci. 2012. Vol. 5.
[21] Trofimova L., Ksenofontov A., Mkrtchyan G. et al. // Curr.
P. 8848-8868.
Anal. Chem. 2016. Vol. 12. P. 349-356.
[13] Grayfer E. D., Kibis L. S., Stadnichenko A. I. et al. // Carbon.
[22] Сидоров Г. В., Бадун Г. А., Баитова Е. А. и др. // Радиохи-
2015. Vol. 89. P. 290-299.
мия. 2005. Т. 47, N 3. С. 284-288.
[14] Костогруд И. А., Замчий А. О., Баранов Е. А. и др. // Науч.
[23] Золотарев Ю. А., Дадаян А. К., Васьковский Б. В. и др. //
обозрение. Физ.-мат. науки. 2014. N 1. С. 54-55.
Биоорг. химия. 2000. Т. 26, N 7. С. 512-515.
[15] Reina A., Jia X., Ho J. et al. // Nano Lett. 2009. Vol. 9. P. 30-
[24] Баратова Л. А., Богачева Е. Н., Гольданский В. И. и др.
35.
Тритиевая планиграфия биологических макромолекул.
[16] Makotchenko V. G., Grayfer E. D., Nazarov A. S. et al. // Car-
М.: Наука, 1999. 175 с.
bon. 2011. Vol. 49. P. 3233-3241.
[25] Бадун Г. А., Федосеев В. М. // Радиохимия. 2001. Т. 43,
[17] Опаловский А. А., Назаров А. С., Уминский А. А., Чича-
N 3. С. 267-271.
гов Ю. В. // ЖНХ. 1972. Т. 17, N 10. С. 2608-2611.
[18] Selig H., Sunder W. A., Vasile M. J. et al. // J. Fluorine Chem.
[26] Шевченко В. П., Нагаев И. Ю., Мясоедов Н. Ф. // Радио-
1978. Vol. 12. P. 397-412.
химия. 2002. Т. 44, N 4. С. 353-357.
[19] Tsugita A., Scheffler J. J. // Eur. J. Biochem. 1982. Vol. 124.
[27] Филатов Э. С., Симонов Е. Ф., Орлова М. А. // Успехи
P. 585-588.
химии. 1981. Т. 50, N 12. С. 2167-2197.